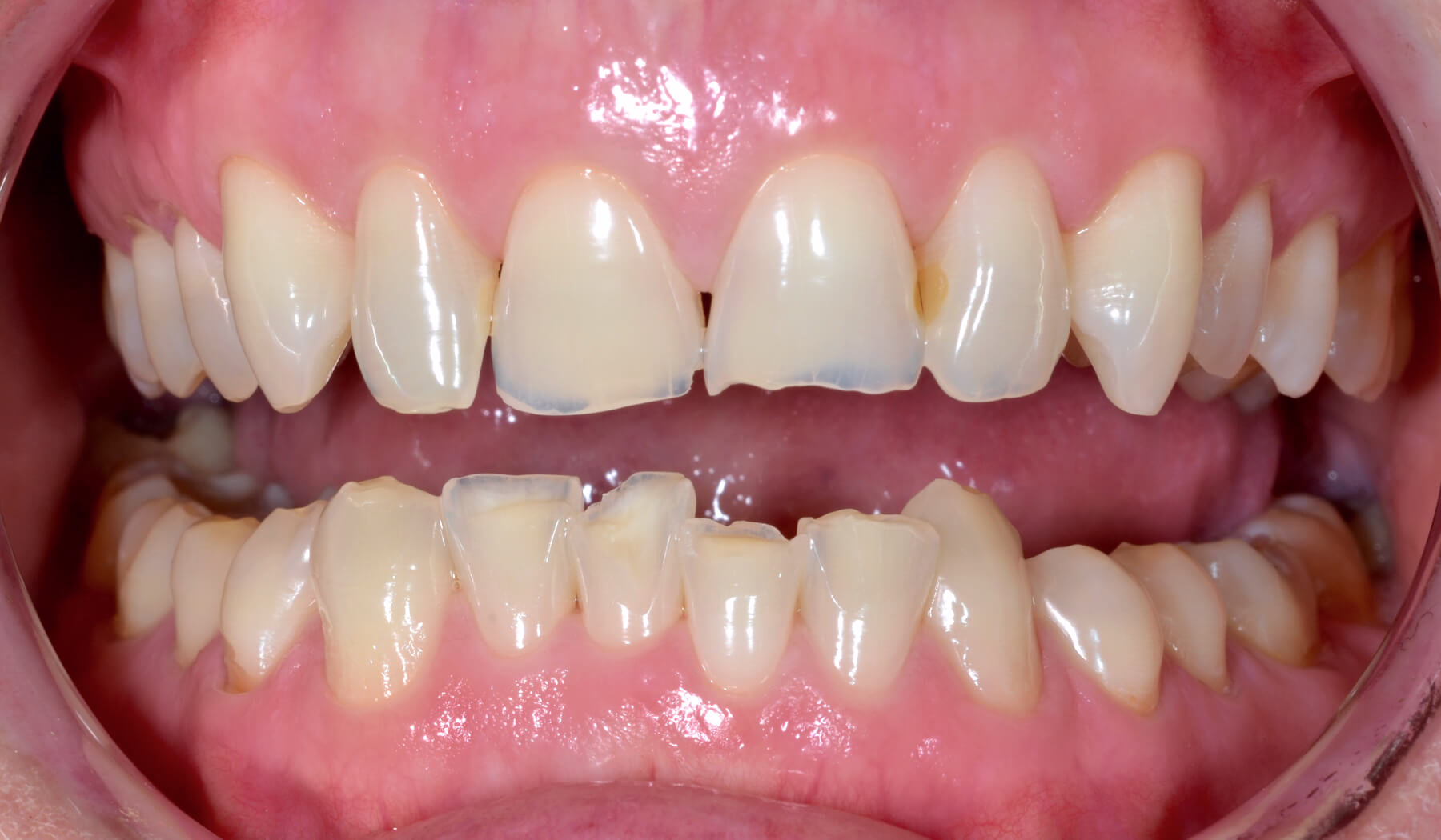
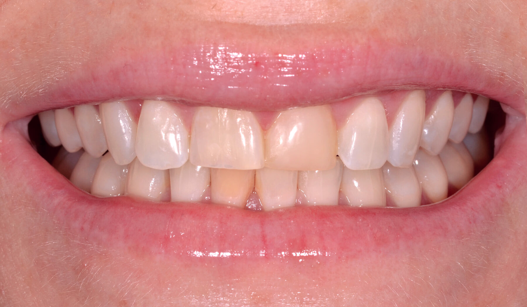
Kronor och tandfasader är vackra och välfungerande ersättningar för tänder som har skadats eller när du vill förbättra en tand eller flera tänders estetiska utseende. En ny fasad kan ge dig det där leendet som du alltid drömt om!
Behandling
Man börjar med att slipa endast på delar av ursprungstanden för att sen ersätta dessa med en konstgjord vacker krona eller fasad i porslin. Många väljer att utföra en omfattande behandling med fasader, men det går lika bra att bara behandla enskilda tänder.
Kronor och fasaderna är utformade så att det i princip är omöjligt att se om det är dina egna tänder eller inte. Det ger dig ett vackert leende både när det gäller färg, form och utseende.

En krona
Med toppmodern teknik och med våra duktiga tandläkare på Stångå Tandklinik så gör vi ett avtryck för att skapa en modell som passar just dina tänder.
Därefter tillverkar våra tandtekniker ett ytskikt av porslin som limmas på utsidan av dina befintliga tänder. Den här typen av fasader håller länge och ser lika naturliga ut som dina riktiga tänder och du får ett leende och en tandrad att vara stolt över.
Hör av dig till oss på Stångå Tandklinik för konsultation, så kan vi berätta mer om hur vi kan hjälpa just dig.
Före och efter


Kronor


Fasader


Fasader