Hos oss på Stångå Tandklinik har vi den senaste tekniken inom tandreglering. Aligners är tandställningen ingen lägger märke till att du bär.
Med utbytbara genomskinliga skenor regleras dina tänder steg för steg. Kontakta oss för en gratis konsultation för att se om aligners är rätt behandling för dig.
Locka fram ditt vackraste leende med världens mest avancerade system för genomskinlig tandställning.
Aligners är en nästan osynlig tandställning. Den rätar upp tänderna successivt med hjälp av en serie avtagbara transparenta skenor som du byter själv en gång i veckan, tills du har nått ditt i förhand planerade resultat.
Vad är aligners?
Aligners är en typ av tandställning som korrigerar tänderna gradvis med en serie av avtagbara transparenta plastskenor som kontinuerligt byts ut under behandlingens gång.
Skenorna bärs dygnet runt och tas ut endast för måltider och munhygien. Behandlingen kan göras både för kosmetiska och funktionella ändamål, och kan användas för att rätta till de flesta typer av bettfel.
Bäst av allt är att behandlingen planeras i förväg i digital 3D, så du kan se det slutliga resultatet innan du börjar!
Fördelar med aligners
- Estetiskt alternativ till konventionell tandställning (räls)
- Nästan osynliga transparenta skenor
- Ofta bekvämare än vanliga tandställning
- Avtagbar för rengöring och vid måltider
- Gör det möjligt att borsta och flossa normalt
- Förutsägbart behandlingsresultat med 3D planering
- Förbättrade munhygienvanor för många patienter
- Förbättrad tandköttshälsa för många patienter
Aligners kan rätta till
- trångställda tänder
- överbett
- underbett
- glesställda tänder (gluggar)
- korsbett
- öppet bett
- djupbett
Se behandlingens gång innan den börjar
När det gäller ditt leende är precision och förutsägbarhet avgörande för en bekväm och effektiv upplevelse.
Med hjälp av skanningar och foton av dina tänder utvecklar vi en detaljerad 3D-rendering så att du kan se ditt nya leende innan behandlingen ens börjar.
Det här virtuella verktyget förutsäger behandlingens varaktighet och låter oss se hur dina tänder kommer att röra sig genom varje steg i processen—från början till slut.
Under behandlingens gång
De transparenta skenorna är ett bra val för dem som vill ha en diskret ortodontisk behandling. De är formade så att tänderna kommer att flytta lite åt gången, långsamt, bekvämt och säkert.
Varje skena används i ungefär en vecka innan den ersätts med nästa skena i serien, och flyttar gradvis tänderna till det planerade slutliga läget. Längden på din individuella behandlingstid baseras på dina specifika behov och kan vara allt från två till arton månader, men de flesta behandlingar tar i genomsnitt 6-8 månader.
Skenorna är avtagbara, men bärs minst 22 timmar om dagen, och tas ut vid måltider och tandborstning. Under hela behandlingen är det viktigt att hålla en mycket noggrann munhygienrutin för att minimera risken för karies och inflammation i tandköttet.
Skenorna byts en gång i veckan. På linjen i grafikens nedre del kan du följa antalet skenor och därmed se antalet veckor behandlingen kommer ta. Vid trångställda tänder skapas utrymmet ofta dels genom att tandbågen breddas, men även genom små slipningar mellan tänderna. Man slipar 0,2-0,5mm emellan två tänder, alltså 0,1-0,25mm på vardera tandyta. Detta är så pass lite att man behöver inte vara orolig för att det ska ge några problem.
Har man exempelvis över- eller underbett eller på annat sätt vill förändra relationen mellan överkäkens och underkäkens tänder, behöver man ibland även använda elastiska gummidrag – små gummisnoddar som fästs i skåror eller krokar i skenorna – se de blå strecken på tänderna i grafiken ovan. Dessa används dock oftast bara på natten.

Retention efter behandlingen
När den aktiva behandlingen avslutas och tänderna står i sina nya positioner är det mycket viktigt att se till att de stannar kvar där. Tänderna kommer nämligen alltid vilja tillbaka till ursprungsläget om man inte håller dem kvar. Detta gäller efter alla typer av tandreglering och är mycket viktigt att man som patient förstår och själv sköter så länge som det behövs.
Den mest kritiska tiden är ca 1 år efter avslutad behandling. Under den tiden är det vanligast att man använder så kallade Essix-skenor, i princip lika mycket som man använt de aktiva aligner-skenorna. Essix skenan är precis som Invisalign-skenorna gjorda i tunn och genomskinlig plast men fungerar dock utan fästen och syns därför i princip inte alls. Man kan också unna sig att gå utan dessa skenor en lite längre stund då och då, men ju mer man använder Essix-skenorna under första åter efter behandling desto bättre.
Oftast sätter man även fast en tunn metalltråd på insidan i underkäken — en så kallad retainer-tråd.
På Stångå Tandklinik skickar vi även med en lite tjockare bettskena i hårdplast efter avslutad i behandling. Andra året efter tandreglering räcker det ofta med att man bara använder denna skenan, och bara på natten, och efter ytterligare några år kanske inte ens varje natt.
Starta resan till ditt nya leende med oss
På Stångå Tandklinik börjar vi med en gratis konsultation för att avgöra om ditt bettfel är lämpligt för behandling med Aligners och diskutera ungefärlig behandlingstid.
När detta är bekräftat och om du väljer att fortsätta, bokar vi ditt första besök där vi scannar tänderna, tar panorama röntgen och fotograferar dina tänder.
Dessa används sedan för att utveckla din personliga behandlingsplan, som vi granskar tillsammans vid nästa besök ca 3 veckor senare. När du väl godkänt planen tillverkas en serie skräddarsydda aligner-skenor speciellt för dig.
Under din behandling byter du själv skenorna varje vecka och kommer på kontroll hos oss ungefär var 4:e till 6:e vecka, så vi kan följa din utveckling och se till att behandlingen går som planerat.
Boka en gratis konsultation för att se om Aligners är rätt behandling för dig. Har du frågor om tandreglering – kontakta oss gärna via [email protected]
Priser
Priset varierar från fall till fall beroende på hur komplicerad felställningen är och hur lång tid behandlingen kommer att ta.
Alla priser inkluderar nödvändig retentionsapparatur som krävs för att hålla kvar tänderna i sina nya positioner, tex retainer-tråd, essix-skenor och hård bettskena.
- Complete
Fullbehandling – obegränsat antal skenor upp till 5 år — Fr. 42 000 kr
- Medium paketet
För behandling med upp till 20 skenor, ca 4-6 månaders behandling — 36 000 kr
- Light-paketet
För behandling av mindre bettfel, ca 3-4 månaders behandling — 30 000 kr
Aligner Teamet
FRÅN VÄNSTER: Maira Guimaraes Marques, Hedvig Ekströmer
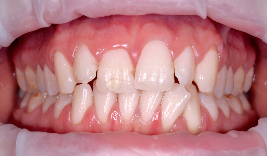
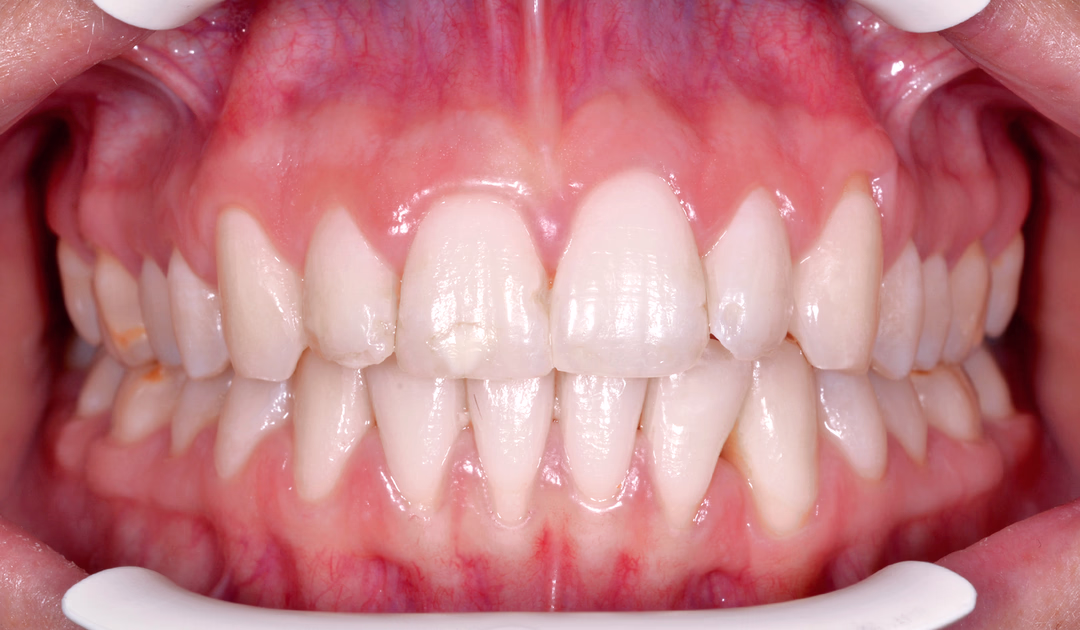
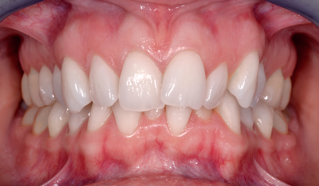
Före och efter


25 veckors behandling


22 veckors behandling


34 veckors behandling


25 veckors behandling


23 veckors behandling


30 veckors behandling


30 veckors behandling